12th Joint European Ophthalmic Pathology Society (EOPS)
-Verhoeff-Zimmerman Society (VZS) Meeting
Digital slide repository
|
WSI HTML5 viewer NZH viewer |
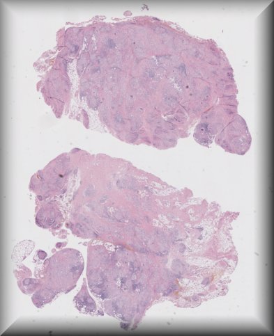
Luciane Dreher Irion (Manchester): 53-year-old male with a 6 month history of proptosis and right subconjunctival lump extending to temporal orbit. Incisional episcleral biopsy performed. |
|
![]() |
WSI HTML5 viewer NZH viewer |
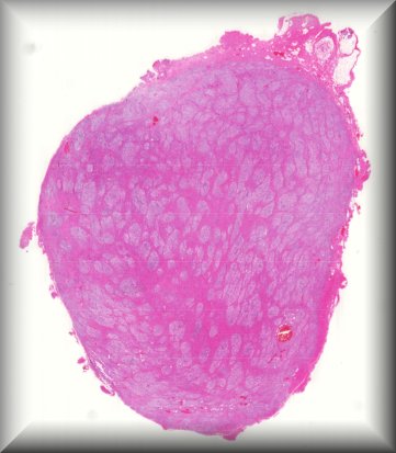
Luis Alfaro (Valencia): 53 year-old-man with a corneal transplant 3 years ago with poor evolution, who underwent retransplantation after being treated with amniotic membrane graft. |
|
![]() |
WSI HTML5 viewer NZH viewer |
Claudia Auw-Haedrich (Freiburg): Entropion in an 83-years old female patient: a different type of surgery to solve the initial problem. |
|
![]() |
WSI HTML5 viewer NZH viewer |
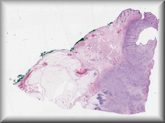
Paul van der Valk (Amsterdam): Orbital tumour. |
|
![]() |
WSI HTML5 viewer NZH viewer |
Thomas J. Cummings (Durham, North Carolina): 54-year-old male with multiple systemic infections underwent enucleation after 2 months of pain, redness and acute loss of vision. |
|
![]() |
WSI HTML5 viewer NZH viewer |
Alexandre Moulin (Laussane): Pigmented ciliary body mass in a 35 yo male. |
|
![]() |
WSI HTML5 viewer NZH viewer |
Alan D. Proia (Durham, North Carolina): Malignant mixed tumor of the eyelid. |
|
![]() |
WSI HTML5 viewer NZH viewer |
||
![]() |
WSI HTML5 viewer NZH viewer |
Maria del Valle Estopinal (Irvine, California): Malignant epithelioid tumor involving the left lower eyelid. |
|
![]() |
WSI HTML5 viewer NZH viewer |
Caroline Thaung (London): Enucleation after breast cancer. |
|
![]() |
WSI HTML5 viewer NZH viewer |
Martina Herwig-Carl (Bonn): 57 year old woman with a blind painful eye and history of intrvitreal bevacizumab injections, tumour biopsy and brachytherapy for uveeal melanoma followed by several proceedures for high intraocular pressure resulting finally in enucleation. |
|
![]() |
WSI HTML5 viewer NZH viewer |
Tatyana Milman (Philadelphia): 49-year-old female underwent penetrating keratoplasty for slowly progressive glare and "brown cornea". |
|
![]() |
WSI HTML5 viewer NZH viewer |
Nora Laver (Boston): A 44-year-old male presented with right upper eyelid swelling of one month; he was treated for presumed pre-septal cellulitis with oral antibiotics without improvement. |
|
![]() |
WSI HTML5 viewer NZH viewer |
David J. Wilson (Portland): Postmortem case of a patient with Sorsby Fundus Dystrophy. |
|
|
WSI HTML5 viewer NZH viewer |
Julia Weller (Erlangen, Germany): Diffuse choroidal hemangioma, intraocular ossification, secondary angle closure glaucoma in a young female patient with Sturge-Weber syndrome. |
|
|
WSI HTML5 viewer NZH viewer |
||
![]() |
WSI HTML5 viewer NZH viewer |
||
![]() |
WSI HTML5 viewer NZH viewer |
Ralph C. Eagle (Philadelphia): A forty-eight year-old woman treated with atezolizumab was diagnosed with CMV retinitis and failed to respond to antiviral therapy. |
|
![]() |
WSI HTML5 viewer NZH viewer |
Fiona Roberts (Glasgow): 53 year old female with subcutaneous nodule and suspected xanthelasma |
|
![]() |
WSI HTML5 viewer NZH viewer |
Karin U. Loeffler (Bonn): Painful corneal lesion in a 24 year old male patient |
|
![]() |
HTML5 viewer |
Keith Wroblewski (Washington): An Elusive Diagnosis solved by Optic Nerve Biopsy. |
|
![]() |
WSI HTML5 viewer NZH viewer |
Elisabeth Messmer (Munich): Focal nodular retinal gliosis mistaken as choroidal melanoma |
|
![]() |
WSI HTML5 viewer NZH viewer |
Stefan J. Lang (Freiburg): Graft failure after DMEK surgery |
|
![]() |
WSI HTML5 viewer NZH viewer |
||
![]() |
WSI HTML5 viewer NZH viewer |
Rob M. Verdijk (Rotterdam): Extrascleral peripapillary hemorrhage in Noonan syndrome with fetal hydrops due to coagulopathy |
|
![]() |
WSI HTML5 viewer NZH viewer |
Josef Sach (Prague): Orbital sarcoidosis. |
|
![]() |
WSI HTML5 viewer NZH viewer |
Leonard Girnita (Stockholm): Enucleation 15-year after Photodynamic therapy for Choroidal Hemangioma |
|
![]() |
WSI HTML5 viewer NZH viewer |
Steffen Heegaard (Copenhagen): Ligneous conjunctivitis in a 12-year-old Turkish girl |
|
![]() |
WSI HTML5 viewer NZH viewer |
Nasreen A. Syed (Iowa city): Retinoblastoma |
|
![]() |
WSI HTML5 viewer NZH viewer |
Rita Van Ginderdeuren (Leuven, Belgium): Vitreous floaters in 77 old man who was immune-compromised |
|
![]() |
WSI HTML5 viewer NZH viewer |
J. Brooks Crawford (San Francisco): Choriocapillaris-sparing granulomatous uveitis: autoimmune or infectious? |
|
![]() |
WSI HTML5 viewer NZH viewer |
Michele M. Bloomer (San Francisco): A blind painful eye. |
|
![]() |
WSI HTML5 viewer NZH viewer |
Thaddeus Dryja (Boston): Corneal ulcer due to an acid-fast bacterium. |
|
![]() |
WSI HTML5 viewer NZH viewer |
||
![]() |
![]() |
Deepak P. Edward (Chicago): Histological alterations of the anterior segment in primary congenital |
|
![]() |
![]() |
||
![]() |
WSI OlyVia viewer HTML5 viewer |
Peter Meyer (Basel, Switzerland): Ewing’s sarcoma of the right orbit. |
|
![]() |
WSI HTML5 viewer NZH viewer |
Patricia Chévez Barrios (Houston): 2 year-old-boy with history of group D unilateral retinoblastoma s/p systemic chemotherapy, cryotherapy and intravirteous chemotherapy. Enucleated for progressive disease. |
|
![]() |
WSI HTML5 viewer NZH viewer |
||
![]() |
WSI HTML5 viewer NZH viewer |
María Miguelina de la Garza Bravo (Houston): 53-year-old male with a 10-year-old history of bilateral exophthalmos (R>L), status post debulking. |
|
![]() |
WSI HTML5 viewer NZH viewer |
George Harocopos (St. Louis): Primary bulbar conjunctival basal cell carcinoma. |
|
![]() |
WSI HTML5 viewer NZH viewer |
Marianta Blasi (Rome): Conjunctival leiomyosarcoma. |
|
![]() |
WSI HTML5 viewer NZH viewer |
Charles Eberthart (Baltimore): Choroidal cellular schwannoma. |
|
![]() |
WSI HTML5 viewer NZH viewer |
Codrin Iacob (New York): RPE adenocarcinoma. |
|
![]() |
WSI HTML5 viewer NZH viewer |
Hardeep Singh Mudhard (Sheffield, UK): An unusual cystic lesion of the tarsal conjunctiva. |
|
![]() |
WSI HTML5 viewer NZH viewer |
Diva Regina Salomao (Rochester, Minnesota): Intracapsular Carcinoma Ex-Pleomorphic Adenoma. |