Digital slide repository
|
HTML5 viewer NZH viewer |
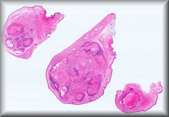
Jolique van Ipenburg (Nijmegen): 50-year-old male, retinoblastoma survivor, with conjunctival squamous lesion. Protocol |
|
![]() |
HTML5 viewer NZH viewer |
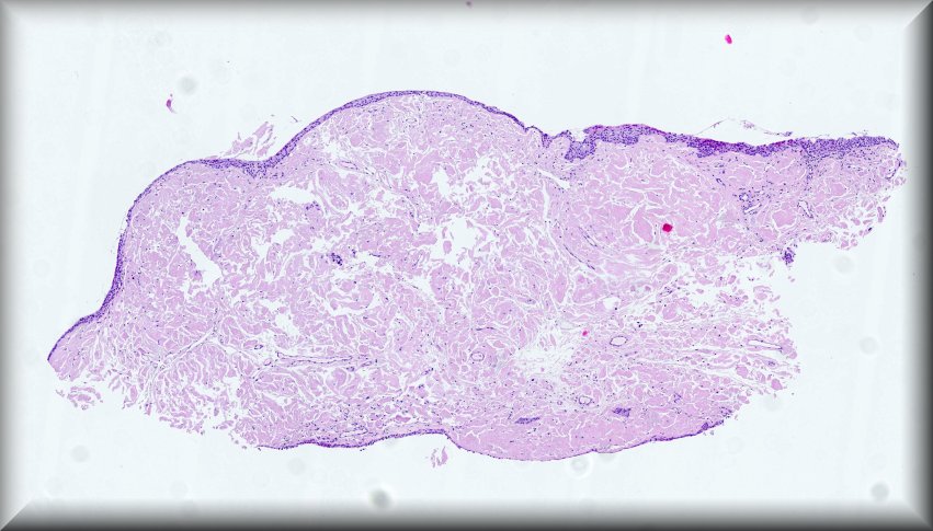
Steffen Heegaard (Copenhagen): Haemolacria in a 72-year-old man. Protocol |
|
![]() |
HTML5 viewer NZH viewer |
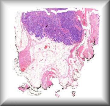
Luis Alfaro (Valencia): Rapidly growing tumour in a 51-year-old male affecting the orbit and involving the eyeball. Extended exanteration was performed, towards the skull and left facial region. Protocol |
|
![]() |
HTML5 viewer NZH viewer |
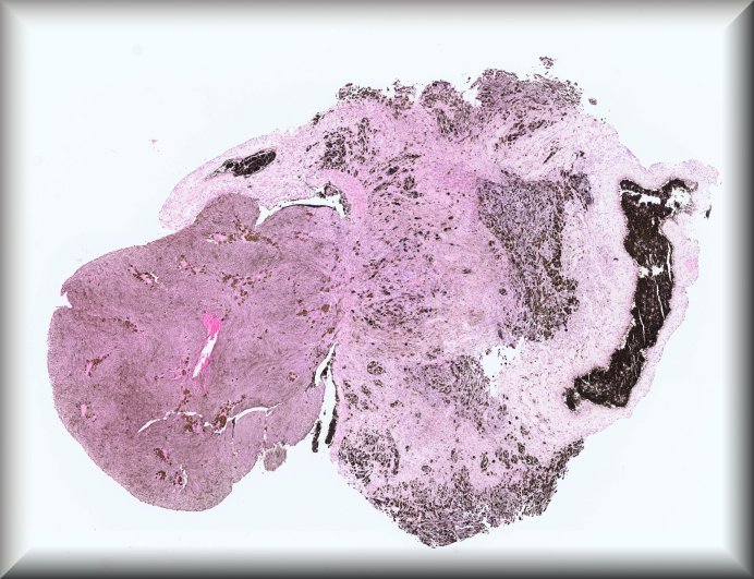
Fiona Roberts (Glasgow): 9 year old female with buphthalmos secondary to congential glaucoma. Protocol |
|
![]() |
HTML5 viewer NZH viewer |
Susan Kennedy (Dublin): Recurrent orbital tumor. |
|
![]() |
HTML5 viewer NZH viewer |
Rob Verdijk (Rotterdam): 49-year-old male with a history of CMML: Candy crush of the orbit. Protocol |
|
![]() |
HTML5 viewer NZH viewer |
Claudia Auw-Haedrich: Vitreal opacities in a 56-year-old female with inherited Transthyretin amyloidosis. At the age of 41, our patient underwent a liver transplant due to hereditary transthyretin amyloidosis. Fifteen years later, she experienced visual deterioration to 0.5 in her left eye due to vitreous opacities. Protocol |
|
![]() |
HTML5 viewer NZH viewer |
Chee Thum (Edinburgh): 82 year-old male, slowly growing left orbital mass. ? Lymphoma. Protocol |
|
![]() |
HTML5 viewer NZH viewer |
Nuno Jorge Lamas (Porto): 72 year-old female patient, who had a firm mass on the topography of the superior orbital rim, adherent to deep planes and causing inferior dystopia. The lesion had been evolving for nearly two years. The MRI study performed showed a right orbital 28 x 27 x 21 mm lesion, which was indistinguishable from the lacrimal gland. The patient underwent surgery in our hospital and we received the surgical specimen. Protocol |
|
![]() |
HTML5 viewer NZH viewer |
Sandra Lassalle (Nice): 53 year old male with a history of eye trauma 10 years ago. Protocol |
|
![]() |
HTML5 viewer NZH viewer |
Marina Herwig-Carl (Bonn): 72 year old man with a blind painful left eye and a therapy-resistant corneal ulcer following radiation therapy for periocular basal cell carcinoma Protocol |
|
![]() |
HTML5 viewer NZH viewer |
Karin U. Loeffler (Bonn): 57 year old male with a phthisical eye after trauma 42 years ago Protocol |
|
![]() |
HTML5 viewer NZH viewer |
Leticia Ussem (guest) (Bonn): 77-year-old man with high intraocular pressure and corneal edema leading to progressive vision loss in the left eye. Protocol |
|
![]() |
HTML5 viewer NZH viewer |
Tero Kivelä (Helsinki): A buphthalmic eye with congenital glaucoma, removed at debulking surgery for a progressive orbital neurofibroma in neurofibromatosis type 1, at the age of 3 1/2 years. Protocol |
|
![]() |
HTML5 viewer NZH viewer |
Josef Sach (Prague): 17 years old boy, tumor involving left orbit, ethmoid sinus and roof of the nasal cavity. Protocol |
|
![]() |
HTML5 viewer NZH viewer |
Luciane Dreher Irion (Manchester): 18 year old female with proptosis and unexpected intra-orbital tumour Protocol |
|
![]() |
HTML5 viewer NZH viewer |
Hardeep Singh Mudhar (Sheffield): 69 y old male developing a sub-Tenon's cyst, 19 years ago, following accidental trauma with a snooker cue. Protocol |
|
![]() |
HTML5 viewer NZH viewer |
Stefan J. Lang (Neuruppin): "Sudden" pain and blindness in one eye in a 41-year-old female patient. Protocol |
|
![]() |
HTML5 viewer NZH viewer |
Thomas Kalinski (Neuruppin): Surprise in the orbit of a 78-year-old male patient. Protocol |
|
![]() |
HTML5 viewer NZH viewer |
Rita Van Ginderdeuren (Leuven): 76 y old man with suspicious lesion for melanoma in left eye Protocol |
|
![]() |
HTML5 viewer NZH viewer |
Daniela Süsskind (Tübingen) (guest): A 66-years-old woman,eighteen years followingendoresection and adjuvant ruthenium-brachytherapy of a choroidal melanoma, demonstrated a growing mass at the resection area suspicious of a tumor recurrence. Protocol |
|
![]() |
HTML5 viewer NZH viewer |
Alexandre P. Moulin (Lausanne): Reddish nodule in the upper eyelid in a 60-year-old woman. Protocol |
|
![]() |
HTML5 viewer NZH viewer |
César M. Salinas La Rosa (Guest): A 37 year old male with a with a growing “red dome” shaped firm papule flesh coloured eyelid lump Protocol |
|
![]() |
HTML5 viewer NZH viewer |
Elisabeth M. Messmer (Munich): 77-year-old male with corneal siderosis and decreasing visual acuity after ocular trauma Protocol |
|
![]() |
HTML5 viewer NZH viewer |
Sarah Coupland (Liverpool): 40-year old female presents with a left relative afferent pupillary defect (RAPD), decreased colour vision and proptosis |
|
![]() |
HTML5 viewer NZH viewer |
M. Carme Dinarès i Fernández (Barcelona): A 73-year-old woman treated with hypotensive drops for many years and underwent glaucoma surgery. Slide from her right bulbar conjunctiva after presenting keratinization of the inferior fornix and inferior cornea area. Protocol |
|
![]() |
HTML5 viewer NZH viewer |
Huda Fadlelseed (Dublin (guest)): Sudden growth in iris melanocytoma Protocol |
|
![]() |
HTML5 viewer NZH viewer |
Alexandra Steinemann (Basel) (guest): Corneal epithelium with intracytoplasmic, finely vacuolated inclusions Protocol |
|
![]() |
HTML5 viewer NZH viewer |
Peter Meyer (Basel): Progressive bilateral localized amyloidosis of the eyelids/conjunctiva – four years after MALT lymphoma Protocol |
|
![]() |
HTML5 viewer NZH viewer |
||
![]() |
HTML5 viewer NZH viewer |
Daniela Mihic-Probst (Zurich) : Unusual age and unusual localization: the “eye-catching histology” makes the diagnosis. 54-year-old man with an upper eyelid tumor Protocol |
|
|
| All Protocolos (.zip file 17MB) | All Presentations (.zip file 1.1GB) |